Как правильно определить причины несварения желудка: всё, что нужно знать
- Как правильно определить причины несварения желудка: всё, что нужно знать
- Связанные вопросы и ответы
- Какие симптомы могут свидетельствовать о несварении желудка
- Какие методы диагностики используются для определения причин несварения желудка
- Какие анализы помогут выявить проблемы со свариваемостью пищи
- Какая роль ультразвукового исследования в диагностике несварения желудка
- В чем заключается принцип работы эзофагогастродуоденоскопии (ЭГДС) при диагностике несварения желудка
- Какие возможности предоставляет компьютерная томография при обследовании желудка
- Можно ли использовать генетические тесты для диагностики нарушений свариваемости пищи
- Какие факторы могут влиять на результаты диагностики несварения желудка
- Какие подготовительные процедуры могут потребоваться перед проведением исследований желудка
- Какая роль лечебных методов после диагностики причин несварения желудка
Как правильно определить причины несварения желудка: всё, что нужно знать
Сначала врачи расспрашивают пациента о его симптомах и медицинском анамнезе. Затем проводят физикальное обследование. Результаты сбора анамнеза и проведения физикального обследования часто позволяют предположить причину диспепсии и определить, какие анализы могут потребоваться ().
Сбор анамнеза направлен на получение ясного описания симптомов, включая характер симптомов — внезапные или хронические. Врачам необходимо знать время и частоту рецидивов, любые затруднения при глотании, а также встречаются ли симптомы только после приема пищи, употребления алкоголя или принятия определенных лекарственных препаратов. Врачам также необходимо знать, какие факторы ухудшают симптомы (особенно физическая нагрузка, определенные продукты питания или алкоголь) или облегчают их (особенно прием пищи или антацидов).
Врачи также спрашивают человека о желудочно-кишечных симптомах, таких как анорексия, тошнота, рвота, кровавая рвота (гематемезис), снижение массы тела и кровянистый или черный кал. Другие симптомы включают одышку и потливость.
Врачам необходимо знать, было ли у человека диагностировано желудочно-кишечное заболевание и/или заболевание сердца, имеет ли он любые факторы риска, связанные с сердцем (такие как повышенное артериальное давление или избыточный уровень холестерина в крови ), а также результаты ранее проведенных анализов и использовавшихся методов лечения.
Физикальное обследование обычно не позволяет врачам поставить определенный диагноз. Однако врачи обращают внимание на симптомы хронических заболеваний, такие как очень светлая кожа, дегенерация мышечной или жировой ткани (кахексия) или пожелтение глаз и кожи (). Они также проводят исследование прямой кишки для обнаружения следов крови. Врачи могут рекомендовать проведение анализов, если в результате обследования выявят отклонения от нормы.
Связанные вопросы и ответы:
1. Чем может проявляться несварение желудка
Ответ: Несварение желудка может проявляться различными симптомами, такими как отрыжка, изжога, тошнота, рвота, вздутие живота, урчание в животе, а также боль и дискомфорт после еды.
2. Какие методы диагностики причин несварения желудка существуют
Ответ: Для диагностики причин несварения желудка используются различные методы, включая эзофагогастродуоденоскопию (ЭГДС), рентгеноскопию, анализы крови и кала на наличие инфекции Helicobacter pylori, а также мочевой анализ.
3. Какие заболевания могут быть причиной несварения желудка
Ответ: Несварение желудка может быть вызвано различными заболеваниями, такими как гастрит, язва желудка, эзофагит, гастроэзофагеальная рефлюксная болезнь (ГЭРБ), функциональная диспепсия, а также опухоли желудка.
4. Какие факторы могут способствовать развитию несварения желудка
Ответ: Ряд факторов может способствовать развитию несварения желудка, включая неправильное питание, употребление алкоголя, курение, стресс, употребление некоторых лекарственных препаратов, инфекцию Helicobacter pylori и нарушение работы нервной системы.
5. Какие рекомендации следует соблюдать при подозрении на несварение желудка
Ответ: При подозрении на несварение желудка рекомендуется обратиться к врачу-гастроэнтерологу для проведения необходимых обследований, соблюдать рекомендации по диете, исключающей острые, жирные, кислые продукты, вести здоровый образ жизни, избегать стрессовых ситуаций.
6. Какие методы лечения применяются при диагностировании несварения желудка
Ответ: При диагностировании несварения желудка может назначаться комплексное лечение, включающее прием препаратов для снижения кислотности желудочного сока, антибактериальную терапию, диету, принятие ферментных препаратов, а также коррекцию образа жизни.
7. Какие осложнения могут возникнуть при несварении желудка
Ответ: При несварении желудка могут возникнуть различные осложнения, такие как развитие язвы желудка или двенадцатиперстной кишки, кровотечение, перфорация стенки желудка, развитие рака желудка, хронический гастрит, дефицит питательных веществ, что требует своевременного обращения к врачу и лечения.
Какие симптомы могут свидетельствовать о несварении желудка
Что делать при «несварении желудка»? Важным этапом лечения является диета. Из рациона необходимо исключить те продукты, которые ухудшают пищеварение. К ним относятся2:
Питание при «несварении желудка» должно быть по возможности сбалансированным. Не забывайте есть достаточно сезонных овощей и фруктов. Плотные приемы пищи на ночь стоит полностью исключить. Обязательно должен быть полноценный завтрак.
Пищу рекомендуется тщательно пережевывать. Откажитесь от привычки обедать на скорую руку, есть перед ноутбуком или телевизором. Не допускайте длительных перерывов между едой: возросший аппетит грозит обернуться перееданием. Питание должно быть дробным, до 5-6 приемов пищи, включая перекусы.
Любая форма расстройства пищеварения, возникающего вследствие недостаточного выделения пищеварительных ферментов или нерационального питания, требует полного отказа от спиртного. Алкогольные напитки в буквальном смысле обжигают стенки ЖКТ*, усиливая воспаление. Отрицательно влияет на слизистую и курение, как активное, так и пассивное.

Чтобы избежать появления симптомов «несварения», не нужно запивать еду и есть десерты и фрукты сразу после основного приема пищи. Быстрый переход от основного блюда к сладкому может усилить процессы брожения.
Желательно по возможности свести на нет стрессовые факторы, провоцирующие нервное напряжение и негативные эмоции. Продолжительность сна должна быть не меньше восьми часов. Рекомендуется также делать небольшие пятиминутные перерывы после каждого часа работы.
Каким может быть лечение «несварения желудка» в домашних условиях? Облегчить неприятные симптомы «несварения желудка» могут легкий самомассаж, грелка на животе, физическая активность, лечебная гимнастика для улучшения моторики желудка, например несколько приседаний или прогулка на свежем воздухе.
Также вы можете помочь организму справиться с тяжестью, вздутием с помощью ферментных препаратов, например, Креон®10000.
Чем может быть полезен препарат Креон®
Креон 3. Он выпускается в форме капсул, содержащих действующее вещество (панкреатин) в виде сотен мельчайших частиц. Эти частицы получили название «минимикросферы» и содержатся только в препарате Креон®5, 11. Именно Креон®во всем мире считается №1 для лучшего пищеварения9.
Наличие маленьких частиц принципиально отличает Креон®от таблеток. Креон минимикросферы®равномерно перемешиваются с едой в желудке и способствуют её полноценному перевариванию3, 7. Благодаря этому 1 капсулы Креон®10 000 может быть достаточно при тяжести после еды3. Благодаря минимикросферам Креон®значительно эффективнее препаратов в форме таблеток, которых может требоваться до 3 штук за раз6,8.
Предположение, что таблетированные препараты можно поделить или размельчить, ошибочны. Это может нарушить защитную оболочку, и действующее вещество попросту «погибнет» в желудке.
Главное, что важно знать при выборе - капсулы не одинаковы, ведь решающую роль в эффективности препарата играет размер частиц. Было показано, что частицы не должны превышать 2-х мм, чтобы максимально точно поддерживать собственное пищеварение. Сегодня этот факт является общепринятым и неоспоримым, однако, не все препараты соответствуют этому требованию.
Об отличии Креонот других капсул можно прочитать.
Капсулы Креонпри необходимости можно вскрывать и добавлять к пище. Каждая Креон минимикросферазащищена от губительной среды желудка, и потому действующее вещество может попадать в кишечник в максимальном количестве.
Также можно индивидуально подбирать дозу, что особенно важно для маленьких детей, которым Креонразрешен с рождения.
Подробнее об отличии в действии Креонот других препаратов можно узнать.
Какие методы диагностики используются для определения причин несварения желудка
Обследование больных
Методы исследования, применяемые при постановке диагноза ФД и проведении дифференциального диагноза, можно разделить на основные, которые следует проводить у всех больных с синдромом диспепсии, и дополнительные, применение которых определяются специальными показаниями.
К основным методам диагностики относятся клинический и биохимический анализы крови, анализ кала, гастродуоденоскопия, ультразвуковое исследование, исследование инфекции H.pylori.
Проведение гастродуоденоскопии позволяет исключить заболевания желудка и двенадцатиперстной кишки, наиболее часто протекающие с симптомами диспепсии (эрозивно-язвенные поражения желудка и двенадцатиперстной кишки, рубцово-язвенные изменения, вызывающие нарушения опорожнения желудка и двенадцатиперстной кишки, новообразования и др.), выявить сопутствующие изменения слизистой оболочки пищевода (рефлюкс-эзофагит), нарушения моторики желудка и двенадцатиперстной кишки (дуоденогастральный рефлюкс). Важным преимуществом гастродуоденоскопии служит возможность проведения биопсии слизистой оболочки желудка и двенадцатиперстной кишки с последующим установлением морфологического варианта сопутствующего хронического гастрита и дуоденита.
Ультразвуковое исследование позволяет уточнить состояние печени, желчного пузыря и поджелудочной железы, Кроме того, с помощью специальной методики ультразвукового исследования (после приема больным 200-300 мл теплой воды) можно получить ориентировочную информацию о тонусе и перистальтике желудка. При этом эвакуаторную способность определяют по ритмичному сокращению привратника и изменению объема заполненного жидкостью желудка.
Для диагностики инфекции H.pylori используются различные методы (серологический, морфологический, быстрый уреазный тест, дыхательный тест, определение антигена НР в кале, определение ДНК НР в кале и слизистой оболочке желудка с помощью полимеразной цепной реакции и др.). Достоверность исследования повышается при одновременном применении нескольких методов, что позволяет избежать ложноотрицательных результатов.
К дополнительным методам диагностики ФД относятся рентгенологическое исследование желудка и двенадцатиперстной кишки, внутрижелудочная рН-метрия, суточное мониторирование рН- в пищеводе, методы исследования двигательной функции желудка (сцинтиграфия, электрогастрография, манометрия желудка), компьютерная томография и др.
Большое внимание при проведении дифференциального диагноза уделяется выявлению т.н. « симптомов тревоги » (лихорадки, выраженного похудания, крови в стуле, анемии, лейкоцитоза, повышения СОЭ и др.), обнаружение которых исключает диагноз ФД и требует проведения тщательного обследования для исключения серьезного органического заболевания.
Какие анализы помогут выявить проблемы со свариваемостью пищи
Классическая непереносимость пищевых продуктов – это неиммунно-опосредованная реакция организма на пищу. Реакция происходит, когда пищеварительная система не в состоянии должным образом расщепить пищу. Причины пищевой непереносимости могут быть связаны с дефицитом ферментов, чувствительностью к пищевым добавкам или реакцией на природные химические вещества, содержащиеся в продуктах питания. Обычно люди, страдающие от пищевой непереносимости, могут съедать небольшое количество такой пищи без каких-либо сопутствующих проблем.
Непереносимость продуктов питания нередко путают с пищевой аллергией. Разберемся, чем отличается аллергия от непереносимости продуктов.
Часто люди говорят, что у них «аллергия» на продукты, хотя на самом деле у них непереносимость, которая возникает, если кишечник плохо реагирует на определенный продукт или ингредиент, используемый при приготовлении пищи.
Пищевая непереносимость связана с пищеварительной системой, в то время как пищевая аллергия – с иммунной. В отличие от пищевой аллергии, опосредованной антителами к иммуноглобулину Е (IgE), пищевая непереносимость (за исключением реакций на сульфиты и бензоаты) не вызывает анафилаксии – тяжелой аллергической реакции, опасной для жизни.
Наталья Масальская
врач-терапевт, аллерголог-иммунолог (взрослый и детский), ООО «Институт Здоровья»
Сила реакции при пищевой непереносимости зависит от количества раздражителя, а при пищевой аллергии – не зависит от количества аллергена (реакция возникает даже от очень маленькой дозы).
Какая роль ультразвукового исследования в диагностике несварения желудка
Ультрасонография желудка
При ультразвуковом обследовании желудок и двенадцатиперстная кишка чаще всего рассматриваются в виде структур, затрудняющих визуализацию других органов. Лишь изредка осуществляется их целенаправленный поиск и обследование. Данное обстоятельство, пожалуй, можно объяснить тем, что желудок и двенадцатиперстную кишку никак нельзя отнести к классическим органам для ультразвукового исследования, хотя у подготовленного пациента они просматриваются не так уж и плохо, да еще, если и врач знает, на что именно направлен его поиск. И все-таки следует отметить, что ультразвуковое исследование желудка и двенадцатиперстной кишки под силу только опытному специалисту.
Далеко не всегда удается выделить пять слоев стенки желудка. Как правило, лучше всего виден срез антрального отдела желудка, зачастую же видны только три слоя: гиперэхогенные внутренний и наружный слои и гипоэхогенный средний слой. Датчик располагают в верхнем левом квадранте живота. У пациентов натощак слои стенки антрального отдела желудка могут быть видны позади печени и непосредственно перед поджелудочной железой. Тень от воздушного пузыря мешает адекватному обследованию пациентов с метеоризмом или после приема пищи. Если желудок значительно растянут, необходимо искать опухоли стенки или утолщение стенки как проявление гипертрофии пилорического отдела. В зависимости от степени сокращения, стенка желудка должна иметь толщину 5—7 мм, и гипоэхогенный мышечный слой в ней не должен превышать 5 мм. Любые подозрения на поражение стенки желудка следует разрешить последующей гастроскопией или рентгенографией.
Для точной оценки слоев стенок желудка его заполняют 500 1000 мл чая или воды (заглатывается через соломинку). При необходимости внутривенно может быть введено 20 мл бутилскополамина (гиосцина бутилбромид).Используется датчик: 5,0 МГц. Датчик 3,5 МГц лучше использовать для обзорных снимков, в особенности для оценки задней стенки и дна желудка. Пациент обычно находится в положении лежа на спине, однако иногда используются специальные положения.
На аппарате с высокой разрешающей способностью и при благоприятных условиях обследования иногда удается выделить пять слоев стенки желудка (1):
- гиперэхогенная граница между полостью и слизистой оболочкой;
- гипоэхогенный мышечный слой слизистой оболочки;
- гиперэхогенная подслизистая оболочка;
- гипоэхогенная мышечная оболочка;
- гиперэхогенная наружная граница серозной оболочки.

Рис. 1. Послойное строение стенки желудка (^).
Дополнительные возможности визуализации слоёв стенки желудка предоставляет эндосонография

Рис. 2. Эндосонография желудка
Эндосонографическое представление слоев стенки желудочно-кишечного тракта: Просвет желудка (26) Эхогенная поверхность слизистой (а) Низкой эхогенности слизистая (b) Эхогенная подслизистая (с) Низкой эхогенности мышечный слой (d) Эхогенная серозная оболочка (е)
Эндосонография является необходимым и высокорезультативным методом диагностики при подслизистых опухолях желудка и при определении стадии его злокачественных новообразований.
К структурам, которые, как правило, хорошо видны при ультразвуковом исследовании, относятся кардия и гастроэзофагеальный переход, антральный отдел желудка, а также двенадцатиперстная кишка. При этом печень играет роль ультразвукового окна. Качество же визуализации дна и тела желудка спереди или через селезенку (ультразвуковое окно) оставляет желать лучшего. Кардиальный отдел желудка чаще и лучше всего удается визуализировать на продольном сечении, когда желудок определяется между печенью и аортой.
Рис. 3. Визуализация гастроэзофагеального перехода на продольном сечении

Рис. 4. Визуализация гастроэзофагеального перехода на поперечном сечении: Виден срез тела желудка, заполненного неоднородным содержимым (v
В качестве примера патологии кардиального отдела желудка, выявляемой сонографически можно привести его карциному (Рис 5).

Рис 5. а, b Гастроэзофагеальное сочленение (включает кардиальный отдел и входной отдел желудка), а На снимке в косой продольной плоскости, проходящей через верхнюю часть брюшной полости, определяется нормальная гипоэхогенная стенка (мышечный слой) кардиального отдела и свода желудка, b Карцинома кардиального отдела желудка: неправильной формы, гипоэхогенное опухолевое образование, продолжающееся от кардиального отдела пищевода (ES) до свода желудка (F). АО - аорта.
Визуализация тела желудка на продольном сечении
У неподготовленного к обследованию пациента тело желудка визуализируется только как постоянно изменяющееся поле позади левой доли печени. При имеющемся исходном изображении гастроэзофагеального перехода найти эту область достаточно просто.

Рис. 6. Визуализация тела желудка на продольном сечении:
продольное сечение через печень и гастроэзофагеальный переход (^);

Рис. 7. Визуализация тела желудка на продольном сечении:
датчик смещен влево. Срез желудка расширился (v);
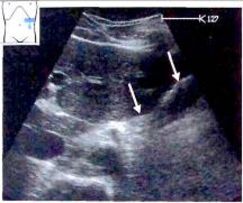
Рис. 8. Визуализация тела желудка на продольном сечении: латеральное продольное сечение. Видна полость желудка, заполненная твердыми частицами и газом (v
В случае если ультразвуковой сигнал попадает на стенку желудка по касательной, проходя при этом через многочисленные складки слизистой оболочки, может сформироваться ошибочная картина утолщения стенки желудка (см. рис. 5). С другой стороны, массивный отек стенки желудка может быть не диагностирован даже при наличии у пациента клинических проявлений (анорексия, снижение массы тела, вздутие живота, отвращение к жареной пище), в случае если не удается осуществить визуализацию всех отделов желудка. Для оценки тела желудка исследование выполняется в левой косой подреберной плоскости, для оценки кардиального отдела и входа в желудок - в высокой продольной околосрединной плоскости выше аортального отверстия диафрагмы.
Рис. 9. Многочисленные складки слизистой оболочки могут имитировать утолщение стенки желудка, в случае если они располагаются по касательной к ультразвуковому сигналу.



В чем заключается принцип работы эзофагогастродуоденоскопии (ЭГДС) при диагностике несварения желудка
Эзофагогастродуоденоскопия (сокр. ЭГДС) – это один из видов эндоскопического обследования, заключающийся в визуальном осмотре пищевода, желудка, 12-перстной кишки с помощью прибора гастроскопа, который вводится через рот. Гастроскоп – это гибкая трубка с волоконно-оптической системой внутри. Обычные гастроскопы вытесняются видеогастроскопами, оборудованными видеокамерой на дистальном конце. Исследование при помощи видеогастроскопа именуется видеоэзофагогастродуоденоскопией.
Сфера применения эзофагогастродуоденоскопии
Эзофагогастродуоденоскопия применяется с целью диагностирования следующих патологий:
- эзофагит (воспаление пищевода);
- сужение (стриктура) пищевода;
- пищевод Барретта;
- грыжа пищеводного отверстия диафрагмы;
- гастроэзофагеальная рефлюксная болезнь;
- гастриты, дуодениты, гастродуодениты;
- диспептический синдром;
- язвенные поражения желудка, 12-перстной кишки;
- онкологические заболевания ЖКТ;
- анемия неизвестной этиологии (в таком случае ЭГДС обычно проводится вместе с колоноскопией);
- необъяснимая потеря веса;
- некардиологическая боль в груди.
Эзофагогастродуоденоскопия также используется для наблюдения за развитием заболевания у пациентов, подверженных высокому риску возникновения рака верхних участков ЖКТ (например, при полипозных синдромах или пищеводе Барретта). Процедура может использоваться как дополнительное обследование с целью уточнения диагноза при иных болезнях (аллергия и др.)
Подготовка к процедуре
Перед проведением эзофагогастродуоденоскопии пациент должен сообщить врачу о наличии аллергических реакций на препараты, а также о существовании иных заболеваний, таких как сахарный диабет и нарушения свертываемости крови. Эзофагогастродуоденоскопия проводится натощак. Пациенту запрещается есть и пить в течение от 6 до 8 часов перед процедурой. Это, во-первых, обеспечивает максимальную визуализацию стенок органов, а во-вторых, предотвращает возникновение рвоты и сопутствующих осложнений. Не следует принимать сукральфат или антациды, так как они покрывают слизистую оболочку ЖКТ и могут ограничить видимость при эзофагогастродуоденоскопии.
Множество пациентов переносят процедуру только при условии применения местной анестезии ротоглотки (лидокаинового спрея). Некоторые тревожные пациенты могут нуждаться в седативных средствах. Общая анестезия может использоваться в отношении лиц, которые трудно поддаются седации из-за хронического потребления наркотиков.
Особенности проведения эзофагогастродуоденоскопии
Непосредственно перед ЭГДС пациент ложится на левую сторону, положив голову на подушку. Его просят зажать во рту специальный загубник, через который внедряется трубка гастроскопа. Затем пациенту нужно расслабить горло, при этом эндоскоп проводится через ротоглотку в пищевод. Это самый дискомфортный момент для обследуемого. Для снижения рвотных позывов пациенту советуют глубоко и спокойно дышать. Через эндоскоп подается воздух, чтобы расправить внутренние полости верхних органов ЖКТ. Прибор быстро пропускают через желудок, параллельно осуществляя осмотр органа, и проводят через привратник (пилорус), чтобы исследовать отделы двенадцатиперстной кишки. После завершения этих действий эндоскоп выводится в желудок и врач проводит более детальное обследование, а также иные манипуляции (при необходимости). Современные эндоскопы передают детальное и четкое изображение с видео- либо фотокамеры (расположенной на конце прибора) на экран компьютера. Во время ЭГДС могут проводиться дополнительные диагностические процедуры. К этим процедурам принадлежат биопсия (для проверки состояния слизистой, наличия H. pylori) и внутрижелудочное измерение кислотности (Ph-метрия). Кроме того, по показаниям во время ЭГДС осуществляются различные лечебные манипуляции, такие как:
- удаление полипов;
- остановка кровотечения;
- введение медикаментозных средств;
- извлечение инородных тел и пр.
После завершения ЭГДС эндоскоп извлекается из пищевода. Простое обследование обычно занимает 1,5-2 мин. Время проведения ЭГДС увеличивается в случае проведения дополнительных процедур.
Осложнения
Эзофагогастродуоденоскопия считается минимально инвазивной и безопасной процедурой. После проведения ЭГДС пациенты не нуждаются в каком-либо существенном восстановлении, за исключением случаев применения анестезии либо седативных препаратов. Тем не менее, боль в горле после ЭГДС – это довольно распространенное явление. Она обычно самостоятельно исчезает в течение одного-двух дней. Осложнения ЭГДС крайне редки. В одном случае из 1000 могут возникать следующие осложнения:
Принцип работы эзофагогастродуоденоскопии (ЭГДС) при диагностике несварения желудка
Эзофагогастродуоденоскопия (ЭГДС) - это диагностическая процедура, которая позволяет врачу visualize внутреннюю поверхность желудка, пищевода и двенадцатиперстной кишки. Она является эффективным инструментом для диагностики различных заболеваний, связанных с функционированием пищеварительной системы.Цели и области применения ЭГДС
Эзофагогастродуоденоскопия применяется с целью диагностирования следующих патологий:- гастроэзофагеальная рефлюксная болезнь (ГЭРБ)
- гастроэзофагеальный рефлюксный синдром (ГЭРС)
- гастроэзофагеальный рефлюксный синдром с хронической болью (ГЭРС с ХБ)
- гастроэзофагеальный рефлюксный синдром с хронической болью и дисфункцией (ГЭРС с ХБ и Д)
- гастроэзофагеальный рефлюксный синдром с хронической болью, дисфункцией и функциональными нарушениями (ГЭРС с ХБ, Д и ФН)
- гастроэзофагеальный рефлюксный синдром с хронической болью, дисфункцией, функциональными нарушениями и психосоматическими расстройствами (ГЭРС с ХБ, Д, ФН и ПР)
- гастроэзофагеальный рефлюксный синдром с хронической болью, дисфункцией, функциональными нарушениями, психосоматическими расстройствами и социальными последствиями (ГЭРС с ХБ, Д, ФН, ПР и СЛ)
- гастроэзофагеальный рефлюксный синдром с хронической болью, дисфункцией, функциональными нарушениями, психосоматическими расстройствами, социальными последствиями и экономическими последствиями (ГЭРС с ХБ, Д, ФН, ПР, СЛ и ЭП)
- гастроэзофагеальный рефлюксный синдром с хронической болью, дисфункцией, функциональными нарушениями, психосоматическими расстройствами, социальными последствиями, экономическими последствиями и последствиями для здоровья (ГЭРС с ХБ, Д, ФН, ПР, СЛ, ЭП и ПЗ)
- гастроэзофагеальный рефлюксный синдром с хронической болью, дисфункцией, функциональными нарушениями, психосоматическими расстройствами, социальными последствиями, экономическими последствиями, последствиями для здоровья и последствиями для жизни (ГЭРС с ХБ, Д, ФН, ПР, СЛ, ЭП, ПЗ и ПЖ)
- гастроэзофагеальный рефлюксный синдром с хронической болью, дисфункцией, функциональными нарушениями, психосоматическими расстройствами, социальными последствиями, экономическими последствиями, последствиями для здоровья, последствиями для жизни и последствиями для социальной адаптации (ГЭРС с ХБ, Д, ФН, ПР, СЛ, ЭП, ПЗ, ПЖ и СА)
- гастроэзофагеальный рефлюксный синдром с хронической болью, дисфункцией, функциональными нарушениями, психосоматическими расстройствами, социальными последствиями, экономическими последствиями, последствиями для здоровья, последствиями для жизни, последствиями для социальной адаптации и последствиями для образования (ГЭРС с ХБ, Д, ФН, ПР, СЛ, ЭП, ПЗ, ПЖ, СА и О)
- гастроэзофагеальный рефлюксный синдром с хронической болью, дисфункцией, функциональными нарушениями, психосоматическими расстройствами, социальными последствиями, экономическими последствиями, последствиями для здоровья, последствиями для жизни, последствиями для социальной адаптации, последствиями для образования и последствиями для социальной поддержки (ГЭРС с ХБ, Д, ФН, ПР, СЛ, ЭП, ПЗ, ПЖ, СА, О и СП)
- гастроэзофагеальный рефлюксный синдром с хронической болью, дисфункцией, функциональными нарушениями, психосоматическими расстройствами, социальными последствиями, экономическими последствиями, последствиями для здоровья, последствиями для жизни, последствиями для социальной адаптации, последствиями для образования, последствиями для социальной поддержки и последствиями для социальной защиты (ГЭРС с ХБ, Д, ФН, ПР, СЛ, ЭП, ПЗ, ПЖ, СА, О, СП и СЗ)
- гастроэзофагеальный рефлюксный синдром с хронической болью, дисфункцией, функциональными нарушениями, психосоматическими расстройствами, социальными последствиями, экономическими последствиями, последствиями для здоровья, последствиями для жизни, последствиями для социальной адаптации, последствиями для образования, последствиями для социальной поддержки, последствиями для социальной защиты и последствиями для социальной защиты и обеспечения (ГЭРС с ХБ, Д, ФН, ПР, СЛ, ЭП, ПЗ, ПЖ, СА, О, СП, СЗ и СО)
- гастроэзофагеальный рефлюксный синдром с хронической болью, дисфункцией, функциональными нарушениями, психосоматическими расстройствами, социальными последствиями, экономическими последствиями, последствиями для здоровья, последствиями для жизни, последствиями для социальной адаптации, последствиями для образования, последствиями для социальной поддержки, последствиями для социальной защиты, последствиями для социальной защиты и обеспечения и последствиями для социальной защиты и обеспечения и социальной поддержки (ГЭРС с ХБ, Д, ФН, ПР, СЛ, ЭП, ПЗ, ПЖ, СА, О, СП, СЗ, СО и СС)
- гастроэзофагеальный рефлюксный синдром с хронической болью, дисфункцией, функциональными нарушениями, психосоматическими расстройствами, социальными последствиями, экономическими последствиями, последствиями для здоровья, последствиями для жизни, последствиями для социальной адаптации, последствиями для образования, последствиями для социальной поддержки, последствиями для социальной защиты, последствиями для социальной защиты и обеспечения, последствиями для социальной защиты и обеспечения и социальной поддержки, последствиями для социальной защиты и обеспечения и социальной поддержки и социальной защиты (ГЭРС с ХБ, Д, ФН, ПР, СЛ, ЭП, ПЗ, ПЖ, СА, О, СП, СЗ, СО, СС и ССС)
- гастроэзофагеальный рефлюксный синдром с хронической болью, дисфункцией, функциональными нарушениями, психосоматическими расстройствами, социальными последствиями, экономическими последствиями, последствиями для здоровья, последствиями для жизни, последствиями для социальной адаптации, последствиями для образования, последствиями для социальной поддержки, последствиями для социальной защиты, последствиями для социальной защиты и обеспечения, последствиями для социальной защиты и обеспечения и социальной поддержки, последствиями для социальной защиты и обеспечения и социальной поддержки и социальной
- асфиксия и аспирационная пневмония (могут возникнуть при ненадлежащей подготовке к процедуре, когда содержимое желудка попадает в дыхательные пути);
- кровотечение;
- перфорация стенки органа;
- сердечно-легочные проблемы.
- Также известны случаи психологических расстройств у детей вследствие проведения эзофагогастродуоденоскопии.
Какие возможности предоставляет компьютерная томография при обследовании желудка
Компьютерная томография – это получение информации об органе путем компьютерной обработки рентгеновского излучения. Относится к сложным методам диагностики. В результате облучения тканей разной плотности на цифровом носителе появляются срезы с изображением органов.
КТ желудка – исследование, которое требует специальной подготовки. Связано это с анатомическими и функциональными особенностями, учитывая полый характер этого отдела пищеварительной системы. Обследование выполняют на спиральном томографе. Время выполнения МСКТ процедуры составляет от 20 до 60 минут. Пациент ложится на специальную кушетку, которую задвигают в середину томографа, который сканирует проблемную зону.
В период, когда будет проходить диагностика, пациент должен лежать неподвижно, чтобы изображение не получилось размытым. Для получения более точных результатов часто применяют контрастирование.
Для достижения хорошей визуализации методику сочетают с введением специальных препаратов внутривенно и перорально (через рот). КТ желудка с контрастом показывает орган более четко, выявляет минимальные изменения его структуры. Пациент предварительно проходит подготовку, которая оговаривается специалистом-рентгенологом. Оптимальный способ введения и вид лекарственного вещества определяют на основании полученных данных о пациенте и предполагаемой патологии.
Вид КТ исследования Правила применения С использованием контрастного вещества В течение 45 минут до процедуры назначают пероральный прием Тразографа или Урографина.1 ампулу, объемом 20 мл разводят в 600 мл воды и дают выпить маленькими глотками С водой без контраста В течение 2 часов до обследования принимают 1, 5 литра негазированной воды, 250 мл выпивают непосредственно перед процедурой Внимание! Если у пациента ранее не наблюдалась непереносимость йода или препаратов, которые его содержат, но на фоне приема контраста отмечаются симптомы непереносимости, следует немедленно прекратить дальнейшее введение вещества и принять неотложные меры по предотвращению развития аллергического состояния. Для получения снимков высокой точности с подсвечиванием тканевых структур пищеварительного тракта можно сделать ПЭТ КТ
Это проведение спиральной томографии с внутривенным введением глюкозы, помеченной радиоактивным изотопом, чаще всего фтором-18. Метод позволяет диагностировать рак в разных стадиях, в том числе метастазы в другие органы.
Для получения снимков высокой точности с подсвечиванием тканевых структур пищеварительного тракта можно сделать ПЭТ КТ. Это проведение спиральной томографии с внутривенным введением глюкозы, помеченной радиоактивным изотопом, чаще всего фтором-18. Метод позволяет диагностировать рак в разных стадиях, в том числе метастазы в другие органы.
При послойном исследовании смесь может давать дополнительные тени, и снимки могут быть неверно интерпретированы. Поэтому КТ желудка с барием не проводится.
Важно! Если выполнялось рентгенологическое обследование с сернокислым барием, рекомендуют отложить КТ диагностику на неделю, чтобы вещество полностью удалилось из организма.
Можно ли использовать генетические тесты для диагностики нарушений свариваемости пищи
Несмотря на наличие у человека некоторых генетических особенностей, связанных с питанием, генетику нельзя использовать, чтобы создать идеальный рацион питания.
Генетическую предрасположенность к заболеваниям с учетом генетических вариаций и употреблением некоторых нутриентов изучает наука нутригенетика . А нутригеномика изучает то, как питание влияет на активность генов и их влияние на здоровье.
Организм каждого человека уникален, и на пищевые пристрастия влияет не только ДНК, но и образ жизни, окружающая среда и даже состав бактерий кишечника. А продуктов и способов их приготовления слишком много.
Если вам предлагают сдать тест и узнать свой идеальный рацион, задумайтесь.
Но кое-что о питании ДНК-тесты все же могут рассказать. Например, выявить наличие мутаций в генах, отвественных за склонность к непереносимости лактозы, глютена, алкоголя и других нутриентов. Некоторым людям с проблемами пищеварения это действительно помогает узнать причины своего состояния и принять нужные меры.
Генетические особенности, связанные с питанием, не делают кого-то сильнее или слабее. Пристрастие к мясу или избегание молока — это эволюционная необходимость, которая закреплялась в процессе тысячелетнего отбора среди многих поколений наших предков.
Узнать, как гены влияют на особенности организма, связанные с питанием, можно с помощью Генетического теста Атлас . Результаты включают отчеты по витаминам, минералам, жирным кислотам Омега-3 и 6, а также непереносимости лактозы, глютена, алкоголя, и метаболизму кофе.
Какие факторы могут влиять на результаты диагностики несварения желудка
Профессор клиники пропедевтики внутренних болезней, гастроэнтерологии и гепатологии им. В.Х. Василенко 1 МГМУ имени И.М. Сеченова Аркадий Александрович Шептулин отвечает на наиболее часто задаваемые вопросы, касающиеся функциональной диспепсии
- Я работаю практическим врачом давно и о разных формах диспепсии (гнилостная, бродильная, кишечная) помню со студенческих лет. Насколько я понимаю, это очень широкий круг разнообразных жалоб, которые встречаются почти при любом заболевании органов пищеварения. И лечим мы в этих случаях не диспепсические жалобы как таковые, а то заболевание, которое их вызывает. Зачем придумывать еще какую-то функциональную диспепсию?
В чем-то вы правы. В буквальном смысле слова «диспепсия» означает «расстройство пищеварения». И раньше этим термином, действительно, обозначали любые нарушения пищеварения в желудке и кишечнике, а также многочисленные клинические симптомы, которыми они сопровождались (тошноту, рвоту, отрыжку, изжогу, метеоризм, запоры, диарею и т. д.). Но, как говорили древние, времена меняются, а с ними меняемся мы и наши представления о вещах. Сейчас понятие о синдроме диспепсии сузилось до определенного симптомокомплекса, включающего в себя боли или чувство жжения в подложечной области, раннее насыщение, чувство переполнения в эпигастрии. Если при обследовании такого больного у него диагностируются язвенная болезнь, хронический панкреатит или, например, рак желудка, то эти заболевания объединяются в группу органической диспепсии, и тогда мы лечим, как вы говорите, конкретное заболевание. Если же органическое заболевание, которое объясняло бы возникновение этих жалоб, не выявляется, то мы ставим диагноз «функциональная диспепсия» (ФД), подчеркивая тем самым, что имеющиеся у больного жалобы имеют функциональную природу.
Какие подготовительные процедуры могут потребоваться перед проведением исследований желудка
За два дня до диагностики рекомендуется ограничить себя в тяжелой и вызывающей повышенное газообразование еде. Следует исключить из рациона:
- алкогольные напитки;
- шоколад;
- острую еду;
- орехи;
- жирное мясо;
- бобовые; (чечевица, горох и т.д.)
- грибы;
- фастфуд;
- копчености;
- и т.д.
От тяжелой еды желудок может просто не успеть очиститься, что ухудшит результаты исследования (вряд ли вы захотите проходить процедуру заново еще раз).
Что можно кушать при подготовке к ФГДС желудка?
Нужно употреблять в пищу еду, которая легко усваивается, например:
- вареную куриную грудку;
- нежирная рыба;
- гречка или рис;
- легкие супы;
- яйца;
- кисломолочные продукты (нежирные);
- овощи после термической обработки.
За сколько часов до ФГДС нельзя есть?
Последний прием пищи должен быть за 10-12 часов до диагностики, поэтому при подготовке к ФГДС желудка в первой половине дня (а обычно прием назначают утром) лучше ужинать примерно за 3-4 часа до сна.
При подготовке к ФГДС во второй половине дня нужно по-прежнему сохранять интервал в 10-12 часов, поэтому рассчитывайте время последнего приема пищи самостоятельно (возможно это будет ранним утром).
Можно ли пить воду перед ФГДС?
Пить воду можно вплоть до двух часов до процедуры. Следует исключить крепкий чай, кофе, газированные напитки.
Через сколько после ФГДС можно есть?
Кушать можно спустя два часа. Рекомендуем принимать легкую пищу в день обследования.
Что еще нельзя делать перед ФГДС:
- курить;
- принимать лекарства;
- жевать жвачку;
- чистить зубы (внутрь может попасть паста и вызвать раздражение);
- не стоит проходить ФГДС при недомогании (насморк, температура - лучше подождать выздоровления);
- нельзя делать ФГДС при ларингите, фарингите, трахеите (мешает отек слизистой, она становится чувствительной к механическому воздействию эндоскопа).
Также нужно предупредить врача при наличии хронических патологий, аллергии на медицинские препараты и трудностях с носовым дыханием.
Подготовка к ФГДС под наркозом:
Обследование проходит под наркозом, если на то есть медицинские показания. Правила подготовки к ФГДС те же самые, к ним добавляется сдача анализов крови и отказ от железосодержащих и нестероидных противовоспалительных препаратов.
Можно ли беременным делать ФГДС:
Гастроскопия безопасна для беременных в том числе, противопоказаний нет. Единственное что может вызвать процедура — это небольшой стресс.
Какая роль лечебных методов после диагностики причин несварения желудка
Диспепсия встречается при многих заболеваниях желудочно-кишечного тракта и прежде всего подразделяется на функциональную и органическую.До 15-30% взрослого населения страдает функциональными желудочно-кишечными расстройствами . Преимущественно это лица молодого и среднего возраста, в 2-4 раза чаще женщины. В их основе лежат нарушения вегетативной регуляции моторной (двигательной) функции желудочно-кишечного тракта, повышенная чувствительность желудка, кишечника, желчного пузыря, приводящая к спазмам или растяжению гладкой мускулатуры этих органов. Также при этом часто происходит несвоевременное выделение пищеварительных ферментов, снижение их активности, или повышенная секреторная функция желудка (повышенная кислотность), нарушения состояния кишечной микрофлоры.
Основные предрасполагающие и провоцирующие факторы функциональных расстройств желудочно-кишечного тракта:
- алиментарные погрешности (переедание, чрезмерное употребление жирной пищи, углеводов, не регулярное питание и др.);
- пищевая аллергия, пищевая непереносимость;
- вредные привычки (курение, злоупотребление алкоголем);
- прием лекарственных препаратов (антибиотики, нестероидные противовоспалительные препараты, препараты железа, калия и др.);
- психические перегрузки и постоянные стрессы;
- индивидуальные особенности: тревожно-ипохондричный тип личности;
- вегетативные расстройства;
- наследственная предрасположенность;
- желудочно-кишечные инфекции в анамнезе, приводящие к вторичной ферментативной недостаточности и дисбактериозам.
В большинстве случаев функциональные диспетические жалобы провоцируются стрессовой ситуацией и погрешностями в питании.
Важной характеристикой всех функциональных расстройств является отсутствие явных, видимых морфологических (структурных) повреждений и нарушений органов. Все изменения происходят на микроскопическом клеточном или биохимическом уровне и являются потенциально обратимыми при устранении провоцирующих факторов.
К функциональным диспептическим расстройствам относятся :
- Функциональная желудочная диспепсия (часто присутствует при любом хроническом гастрите, а также хеликобактерной инфекции)
- Функциональные билиарные расстройства (дискинезии желчевыделительной системы)
- Синдром раздраженного кишечника
- Функциональные изжога, запор, диарея и другие.
Необходимо отметить, что диагноз функциональных расстройств желудочно-кишечного тракта устанавливается только при исключении органических заболеваний органов пищеварительной системы, которые сопровождаются видимыми нарушениями строения стенки органов, выраженными воспалительными изменениями слизистой оболочки с развитием эрозий, язв, или онкологического процесса.
Вызывающие органическую диспепсию заболевания :
- Пищевода: эрозивная гастро-эзофагеальная рефлюксная болезнь (ГЭРБ), дивертикулы, опухоли;
- Желудка: язвенная болезнь, оперированный желудок, рак желудка;
- Кишечника: язвенный колит, болезнь Крона, целиакия, кишечные инфекции и глистные инвазии, опухоли;
- Поджелудочной железы: панкреатит, рак;
- Печени и желчевыделительной системы: гепатиты, циррозы, холецистит, желчно-каменная болезнь, опухоли.
В ряде случаев диспетические жалобы могут быть связаны с заболеваниями эндокринной системы (сахарным диабетом, нарушениями функции щитовидной железы и др.), сердечно-сосудистой системы (атеросклероз брюшной аорты, мезентериальных артерий, стеноз чревного ствола), нервной системы. При этом проводится дополнительная дифференциальная диагностика.
Особенности диспептических жалоб, в зависимости от локализации проблемы в желудочно-кишечном тракте :
Пищеводная - в данном случае присутствуют изжога, болезненность или затруднения при прохождении пищи в пищеводе, срыгивания.Желудочная - дискомфорт, жжение, распирание в эпигастральной области, быстрое насыщение после еды).
Кишечная -вздутие, урчание, метеоризм, дискомфорт и распирание в животе, запоры или поносы). В зависимости от механизмов нарушения пищеварения в кишечнике, диспепсия может быть: бродильная (жидкий пенистый стул с кисловатым запахом, выраженный метеоризм) – при нарушении переваривания и всасывания углеводов. гнилостная (зловонная необильная диарея) – при нарушении переваривания белков.
Билиарная - горечь во рту, тошнота, отрыжка горьким, рвота с желчью, вздутие, неустойчивый стул, периодически ярко-желтый или зеленоватый кашицеобразный стул).
Панкреатогенная - диарея в виде жирного обильного зловонного стула, плохо смываемого с унитаза, после употребления алкоголя, жирной пищи, вздутие в животе, тошнота. рецидивирующая рвота.
Диспепсия встречается при многих заболеваниях желудочно-кишечного тракта и прежде всего подразделяется на функциональную и органическую.
Пищеводная - в данном случае присутствуют изжога, болезненность или затруднения при прохождении пищи в пищеводе, срыгивания.